اوبال فينير

اوبال فينير

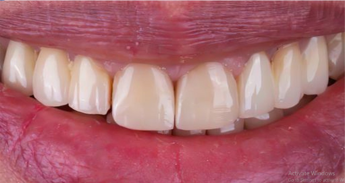
هي احدث ما توصل اليه الطب التجميلي في القشور التجميلية, فهي الاقل سماكة علي مستوي العالم و يبلغ سمكها 0.1من الميلليمتر فهي لا تحتاج تقريبا الي برد الاسنان قبل التركيب و بالرغم من ذلك فخاماتها تتميز بالصلابة و القوة و توفر الشكل الجمالي و الطبيعي المطلوب .....فالحفاظ علي الاسنان الطبيعية هو الاولوية و بعد توصلنا الي اوبال فينيرز توفر الينا فرصة التجميل والحفاظ علي الاسنان الطبيعية لعمر طويل في اّن واحد بدون برد و بدون بروز    

احجز موعدك

ساعات العمل

  • السبت 12 مساء : 12 صباحا
  • الأحد 12 مساء : 12 صباحا
  • الإثنين 12 مساء : 12 صباحا
  • الثلاثاء 12 مساء : 12 صباحا
  • الأربعاء 12 مساء : 12 صباحا
  • الخميس 12 مساء : 12 صباحا
  • الجمعة مغلق