علاج الجذور
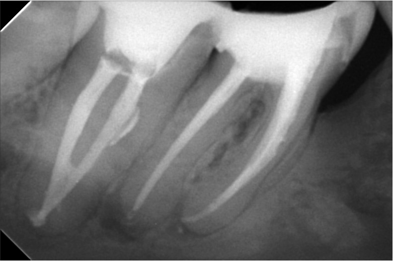
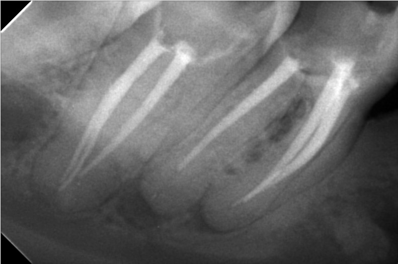
علاج الجذور يعد فرع من فروع طب الأسنان الذي يعمل على معالجة مشكلات الجذور التي تساعد على توفير الحماية والتغذية داخل الأسنان من التعرض لأي عوامل خارجية مثل: الأطعمة الساخنة والباردة هناك العديد من التقنيات التي ساعدت في علاج الجذور و التي توفرها مركز أوبال للأسنان, ومنها:جهاز الاشعة الثلاثية الابعاد , جهاز الميكروسكوب, أدوات تنظيف القنوات العصبية واخيرا حشو القنوات العصبية فكل منها لها دور مهم في عملية علاج الجذور فالاشعة الثلاثية الأبعاد تساعد في رسم خريطة دقيقة للقنوات العصبية أما الميكروسكوب فهو يعمل على توضيح الرؤية, تتيح أدوات تنظيف القنوات العصبية لأول مرة التعامل مع القنوات الضيقة والملتوية بشدة وتعد حشو القنوات العصبية عن طريق الحقن من أحدث التقنيات الطبية التي تضمن نجاح نجاح علاج الجذور أصعب الحالات من الجلسة الأولى فهي تعمل على إحكام غلق القنوات الأساسية وخصوصا الفرعية والتأكد من انها خالية من البكتيريا.
من المضاعفات التي يسببها مشكلات جذور الأسنان:
- الألم الشديد عند المضغ.
- ظهور الصديد على الأسنان المصابة.
- تورم الوجه.
- تورم اللثة الشديد.
- تغير لون السن إلى اللون الاغمق .